2010年5月4日

腿腿與MRSA的正面對決


輸了...一敗塗地...
最後請出了"天不生仲尼,萬古如長夜"的萬古黴素才慘烈獲勝



回想起生病前的那個禮拜
腿腿跟著幼稚園去科工館參觀, 去動物園郊遊
小郭老師還稱讚他在動物園都自己走路不用人抱
原來那時就外強中乾了?!

清明假期全家回桃園一趟
腿腿就這麼燒了起來
腿腿媽以身為人妻媽媽的直覺大費周章帶腿腿去署桃急診一遊
其實...急診醫師不會比腿腿媽厲害啊
總之, 除了沒帶健保卡要自費有點心痛外
急診醫師覺得沒大問題就把腿腿退貨了

回高雄的第一個上班日
阿嬤表示腿腿精神不太好都在睡覺
腿腿媽心急如焚提早回家發現腿腿已經醒了在看巧虎, 狀況好像沒很差
還好一念之間平常愛窮緊張的腿腿媽決定再來急診逛大街

高榮的醫師也覺得腿腿活力好像還不錯呀~~
本來一樣打算再觀察的
但腿腿媽秀出她的VIP證!
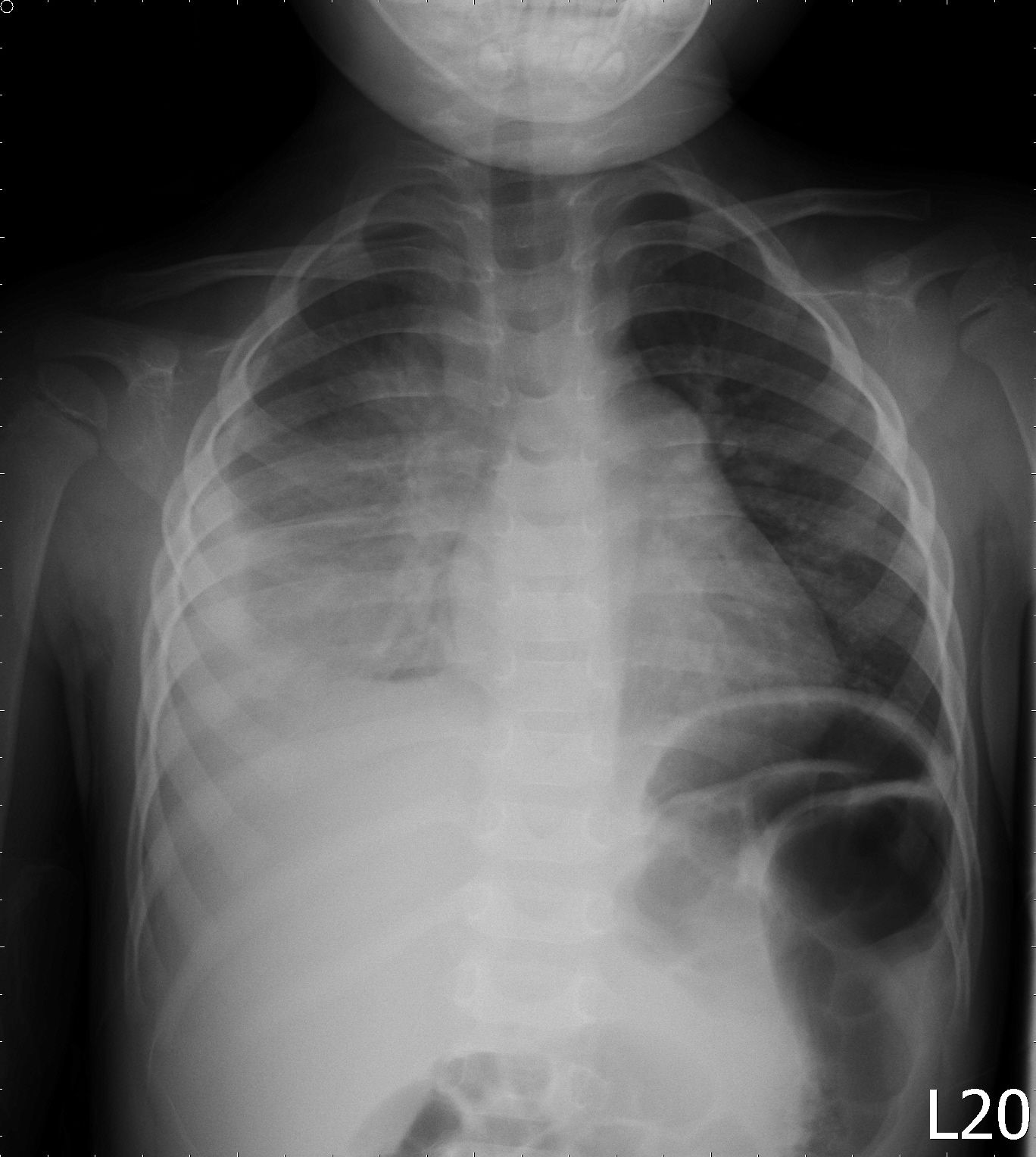
於是醫師為了打發她, 幫腿腿安排了胸部X光

急照幫忙照相的都是腿腿爸的老同事了
照完大家一聲嬌喘驚呼....沒想到腿腿這麼會忍耐
小兒急診的地雷就是腿腿!

以下就是他一直說"我沒事"的相片

是大葉高島屋肺炎耶! 驗血結果也顯示出驚人的...異常
如果當天沒積極處理又被退貨, 後果實在是不敢想像
急診醫師可以體諒父母親的窮緊張嗎?
總之, 腿腿開始住院展開漫長的抗菌大作戰

當天晚上腿腿喘啊咳啊輾轉難眠
腿腿媽也十分緊張回想起她以前run小兒科時
有個小孩肺炎入院後隔天進加護病房.....就沒再出來了
(其實都會出來....只是坐不同電梯而已)

隔天早上腿腿爸拜託的小兒感染科鄭阿伯開出了一號餐
ampicillin + sulbactam + azithromycin (薯條盒子加大)
希望細菌會飽!

(跳一下) 事情發展總是不如人意
 一星期後腿腿發燒還是沒法全退,
 再照X光片沒什麼改善, 肋膜積水也跑出來了

如果是膿胸的話, 不是要放胸管就是要進手術房清理
為了確定診斷, 腿腿爸放棄"虎毒不食子"的醫療倫理
親自幫腿腿做肋膜積水的穿刺採樣
雖然技術不佳只抽到一點點, 但看起來不是膿就讓人比較放心了

有鑑於一號餐吃不是很飽
鄭阿伯開出了二號餐: 第三代的cephalosporin cefotaxime
感覺好像壓制不住細菌
這隻細菌非等閒之輩啊, 應該是MRSA等級?
緊急再加上三號餐萬古黴素, 薯條azithromycin也再來一盒
動作真是明快!
因為當天晚上腿腿就全身發抖發燒飆到歷史新高40.6
還好萬古黴素是有用的, 燒慢慢退, 驗血值也慢慢恢復正常

至於cefotaxime造成的肝功能異常
和萬古黴素造成的red man syndrome (上半身紅得跟蝦子一樣)
讓人感覺真的很不順啊!!!

緊急call來救援的阿公表示不知道為什麼自己變成了長中繼
總共陪了腿腿23天

這齣戲...還沒演完
腿腿出院後三天又燒了起來
只好又到急診驗血照X光
還好看起來是病毒感染, 不是細菌復發, 不然又要住院了!

腿腿爸的結論: 醫院附設幼稚園真的很毒, 都是醫院內的抗藥性細菌
                          腿腿的上學計畫再次擱置
                          等身體養好一點, 下學期再說吧!

第三天搬到單人房
早知道要住這麼久就住健保四人房好了

單人房的床大到腿腿媽上去也沒問題
.....
新來的嗎? 病床都一樣大啦!

小型氧氣罩
後來都用大型氧氣帳了

屢屢被糾正的拍痰
說真的, 抗生素沒效就算拍到肋骨斷到也沒用
(病歷上記錄為馬家屬)

換點滴的空檔來洗個頭
腿腿你也要去時代中心領獎嗎?

出院前一天換口服藥....終於手上沒有點滴了

太久沒走路搖搖晃晃

會爬椅子真是令人欣慰!

檢查有沒有玩具忘了拿回去

這個小水桶是這次住院最重要的工具....混著抗生素的藥味和尿騷味

16 則留言:

  1. 健健康康回家真是太好了!!
    兩位家長也真是辛苦了呢!

    回覆刪除
  2. 腿腿再來就一定健健康康的,不會在折騰老爸媽了!

    聽聞之前腿腿生病卻沒想到這麼嚴重,
    有圖有真相,圖片看來活生生把腿媽給折騰的瘦了一圈ㄚ!
    腿爸應該也頭髮白了不少。
    好家在,有專業的腿爸媽,可以放電光、掌握方向。

    回覆刪除
  3. 好驚險的歷程啊!!邊看邊幫腿腿緊張,眼淚都快掉粗乃了~還好一切平安!!

    回覆刪除
  4. 可憐的腿腿寶貝秀秀...
    經過這次,以後一定平平安安、健健康康
    "醫院的菌真的很毒呀!!"(點頭點頭…)
    把拔馬麻辛苦了,沒事了沒事了.(拍拍...)

    回覆刪除
  5. 腿腿健康出院真是太好!

    辛苦腿媽腿爸和腿公了,腿媽看起來瘦一圈又憔悴,

    要多保重喔!

    回去告訴比比阿公這個好消息,他很關心腿腿呢!

    回覆刪除
  6. 身為小兒科醫師又是媽媽, 我只能說這真是驚人阿
    自己因為小朋友接二連三地生病越來越神經質
    沒想到把拔可以把這段住院史寫的這麼四兩撥千斤
    我也來多學習一下....否則我快焦慮症發作了

    也辛苦腿腿啦!!! 真是心疼阿
    我也決定不要送醫院婦幼, 也要晚一點讓老大上幼稚園

    回覆刪除
  7. 腿腿爸媽辛苦了~
    腿腿很勇敢!(拍拍手)
    還好最後沒事...
    幼稚園真的是可怕的大毒窟>"<...

    回覆刪除
  8. 上幼稚園是容易生病沒錯
    不過腿腿實在是太虛了
    上次才去日本沒幾天就逛急診
    目前跟偏食的他奮戰中

    回覆刪除
  9. 真是大地雷呀~~~
    不過,呼吸音真的聽不出來異常嗎?
    幸好腿腿在手拉拉的庇蔭下順利痊癒
    果然是吉人自有天相啊~~~

    回覆刪除
  10. 呼吸音聽不出的來的obar pneumonia大地雷我也碰過
    (但多半還是fever, tachypnea, toxic, 有一些呼吸道or GI symptoms)

    回覆刪除
  11. 呼~大家都辛苦了!!(惜惜)
    希望腿腿要健康快樂喔~

    回覆刪除
  12. 小妤兒和芛芛的媽2010年5月6日 晚上9:59

    我家小的上次尿道感染住院五天就很難熬了
    何況是三個星期
    真是辛苦把拔馬麻和腿腿了

    回覆刪除
  13. 我們家大比兩歲半時,
    也是streptococcal pneumonia住院兩個禮拜,
    http://photo.xuite.net/akira1524/726180*38
    雖然已經打過肺炎鏈球菌疫苗,
    到了幼稚園還是馬上破功。
    出院後放假了3個月,
    後來才因為跟阿嬤搶電視(害阿嬤不能看股票),
    才又被送回幼稚園,
    真是一次可怕的經驗!

    回覆刪除
  14. 嗯,突然想起來,我們家大比第一所幼稚園也是蒙特梭力教學
    結果就像他爸爸寫的,上了兩個多月就得了肺炎
    也在高榮住了十天才出院
    出院後又心不甘情不願地上了一個禮拜的課就死也不去上課了
    三個月後,換了一家普通的幼稚園,就一直上到現在
    問他為什麼不喜歡第一家幼稚園,他回答因為不喜歡"工作"
    講得一付在學校被虐待當童工似的....
    後來我跟他爸探究原因,也許蒙氏注重個別差異的教學
    對於愛現的他缺乏表現的舞臺,讓他覺得很無聊吧...
    也許腿腿也一樣?

    回覆刪除
  15. 很奇怪
    腿腿真的呼吸音聽不出來
    fever在第四天的時候反而沒有第二天來的高跟密集
    (第二天高達41C,但住院之前的那個早上反而都只有37度多)
    不很toxic(會玩會看電視),tachypnea我覺得是住院後才變明顯
    還有dry cough,watery diarrhea, abdominal pain
    所以當時真的覺得很像virus

    -------------我是分隔線-----------------

    腿腿的幼稚園還不錯啊!
    應該不會換啦...只是休息一陣子 喝了再上

    回覆刪除
  16. 尼好
    看尼的網誌有1年半了
    第一次留言,難怪這麼久沒更新

    辛苦囉,尤其看腿腿媽瘦了一大圈

    回覆刪除